Casos de Estudio
Debido a su pequeño diseño de una sola ala, el sistema de soporte Tip-Edge PLUS® tiene una gran distancia inter-bracket, lo que permite el incluirlo aun cuando al inicio del tratamiento exista mucho apiñamiento y esto se logra de manera muy fácil. La ranura vertical facilita la colocación de resortes auxiliares, para el enderezamiento y la rotación de los dientes en casos necesarios. Los casos de extracción limítrofes pueden tratarse fácilmente así como los casos sin extracciones.

“Los casos de estudio son proporcionados por el Dr. Bradley Nirenblatt. Ha conseguido resultados óptimos por más de 10 años con el tratamiento de Tip-Edge PLUS®.”
Galería
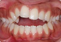
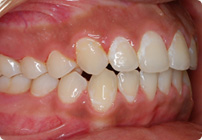
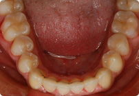
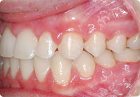
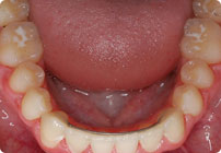
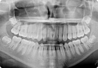
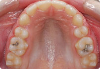
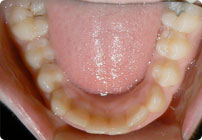
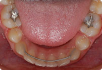
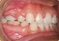
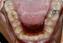
Femenino
Antes
Despues
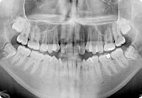
Caso: 20 años
Adulto: Clase II,
Mordida Abierta Anterior
Sin extracción
4 series de alambres:
.016″, .022″, .0215″ x .028″, .019″ x .025″ Trenzado;
Elásticos en cajas
Triangulares TP Rosa, Verde, Azul
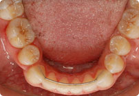
Retenedores: Inferior Fijo
Tiempo de tratamiento: 16 Visitas












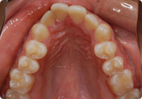
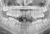
Galería
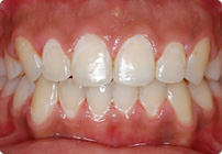
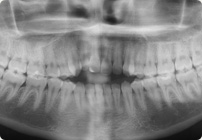
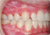
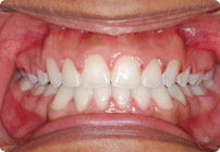
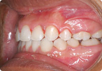
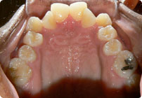
Masculino
Antes
Despues
Caso: 11 años
Adolescente: Clase II
Mordida Cruzada Posterior
Sin extracción
Sin uso de expansores
6 alambres superiores
5 alambres inferiores
Sin uso de elásticos
Retenedores: Interior Fijo de TMA y Hawley en superior
Tiempo de tratamiento: 14 Visitas












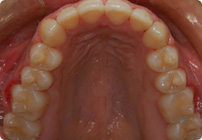
Galería
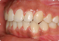
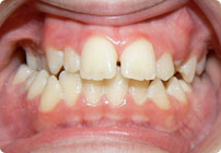
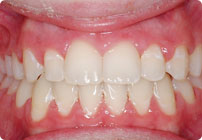
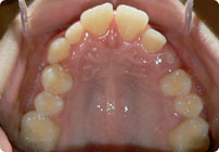
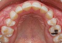
Femenino
Antes
Despues
Caso: 12 años
Adolescente: Clase II
Dental Maxilar Protrusion
Extract U4’s/L5’s
4 series de alambres:
.016″, 022″, .0215″ x .028″, .019″ x .025″ Trenzado
Elástico clase 2 2oz. TP amarillos y verdes
Retenedores: Interior Fijo de TMA y Hawley en superior
Tiempo de tratamiento: 15 Visitas












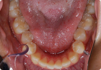
Galería
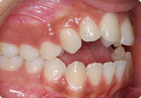
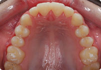
Femenino
Antes
Despues
Caso: 19 años
Adulto: Clase III
Mordida Abierta Anterior
Mordida Cruzada Anterior y Posterior
Endo necesitado para #19
Extract U5’s, LR4, LL6
6 alambres superiores
5 alambres inferiores
Elásticos Clase III 2oz. TP Verde
Retenedores: Interior Fijo de TMA y Hawley en superior
Tiempo de tratamiento: 21 Visitas












